İ.Gökşen Cd. No: 54/A M.Paşa/Antalya +90 544 263 37 65 newsmile@andepol.com

2 Front Teeth Veneers Cost

Your front teeth bear a tale each time you smile, and sometimes the tale needs a little revision. Veneers improve the shape, size, and color of your teeth, making them an ideal option for those who have issues with their two front teeth.

The cost of 2 front teeth veneers depends on which path you take. Streamlined porcelain, long-term zirconium, affordable composite, or even no-prep versions that don't touch your natural enamel.

For most people, the true worth isn't necessarily in the substance it's in how having those two flawless teeth can make the world perceive you differently, and also the way that you perceive yourself.

2 Front Teeth Veneers Cost

Your Perfect Smile Starts with Two Teeth

Little adjustments can have an enormous effect. Give your front teeth a budget-friendly top-quality veneers that look completely natural alongside your own teeth. Schedule your free consultation today and find out how simple it is to have the perfect smile of your dreams!

5 min read
1-2 days
Medically reviewed by DDS PhD. Spec. Kıvanç Ulusoy

How Much Do 2 Front Teeth Veneers Cost?

When you're getting your two front teeth repaired, veneers are less about dentistry and more about achieving a smile that feels like you. 2 front teeth veneers cost starts from $300, the final cost will depend on what material you choose and the kind of result you're looking for. Porcelain veneers are the classic choice, beloved for their natural shine and resilience.

Composite veneers are gentler on the wallet and can give you an instant transformation, though they may need to be replaced sooner. Zirconium veneers are more strength without compromising on the looks of a natural smile, ideal if you want something that will be able to handle years of wear and tear.

No-prep veneers are the least invasive option, ideal if you want a new smile without altering your natural teeth too much. Each type has trade-offs in looks, longevity, and care, so the best choice depends on veneers cost, your tolerance for touch-ups, and how you want your smile to feel.

2 Front Teeth Veneers Cost Table in 2025?

Veneer Type Starting Price (2 Front Teeth)
2 Front Porcelain Veneers $600
2 Front Metal Veneers $500
2 Front Composite Veneers $300
2 Front Zirconium Veneers $700
2 Front No-Prep Veneers $600
Bonding 2 Front Teeth Veneers $400

Cost of 2 Front Porcelain Veneers

Porcelain veneers are the most popular and high-end option for restoring the two front teeth because they offer a natural appearance and last long. Constructed from high-grade dental porcelain such as emax dental veneers, mimic the natural translucency of enamel, giving a flawless and natural smile.

The price of 2 front teeth porcelain veneers varies between $1,000 and $2,500 per tooth in the US. In dental tourism hotspots like Turkey, the price can be as low as $300 to $500 per tooth without any compromise on quality. This is usually because of lower operating costs overseas and not a compromise on material or procedure.

The affordable porcelain veneers typically last for up to 10-15 years if one maintains them correctly. In the long term, this is a cost-effective measure. The price is also set by the dentist's skill and the dental technician's expertise since perfecting your natural teeth requires intensive craftsmanship.

Cost of 2 Metal Veneers on the Front Teeth

Less popular for visible front teeth since they are metallic in color, metal-based veneers or porcelain-fused-to-metal (PFM) veneers are sometimes chosen due to their durability. In these cases, the metal framework is covered with tooth-colored porcelain to make them more aesthetically pleasing.

The cost of 2 front teeth metal veneers can range from $800 to $2,000 per tooth in Western nations. In other nations where dental care is comparatively inexpensive, it can go down to $250–$400 per tooth.

Metal veneers tend to be more durable against chipping than all-porcelain veneers but can have a reduced translucency, an important component for front tooth aesthetics. Due to this reason, patients prefer full porcelain or zirconium veneers for maxillary front teeth.

2 Front Composite Teeth Veneers Cost

Composite veneers are the most economical method of improving the appearance of the two front teeth. They are made of tooth-colored resin that is bonded to the teeth and shaped by the dentist in one visit.

The cost of 2 front teeth composite veneers will be between $350 to $600 per tooth in the USA, and $100 to $250 per tooth in more affordable destinations.

While composite veneers are less expensive, they also only typically have a lifespan of 4–8 years, whereas porcelain is longer lasting. Conversely, they are simpler to repair and the up-front cost is significantly less. For someone who needs an affordable smile makeover in a hurry, composite veneers can be a great option.

2 Front Zirconium Veneers Cost

Zirconium veneers (or zirconia veneers) are renowned for both their toughness and aesthetic appeal. Zirconium dioxide is a highly durable material, resistant to cracking and chipping, yet still allowing a natural-looking, white finish.

The cost of 2 front teeth zirconium veneers is usually between $1,000 and $2,000 per tooth. Cost is high in the USA but in nations like Turkey, prices can be between $300 and $600 per tooth.

Zirconium veneers are an excellent choice for those who want durability along with good looks, especially if they are tooth grinders or require increased strength without sacrificing esthetics. Many patients choose zirconium on the front teeth when they require a long-term investment in their smile.

2 Front Teeth No Prep Veneers Cost

No-prep veneers, such as Lumineers, are very thin shells bonded onto the natural teeth with little drilling or re-contouring. They are therefore a less aggressive option compared to traditional veneers with less tooth structure damage.

2 front teeth no prep veneers cost between $800 and $2,000 per tooth in the US. No-prep veneers last 10 years with care and are appropriate for patients with few cosmetic issues and who want a reversible or more conservative treatment. The fact that they are thin allows for easy fit, but they may not be appropriate for extreme reshaping cases.

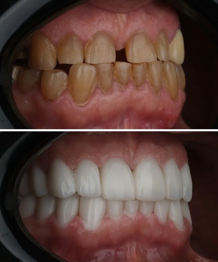
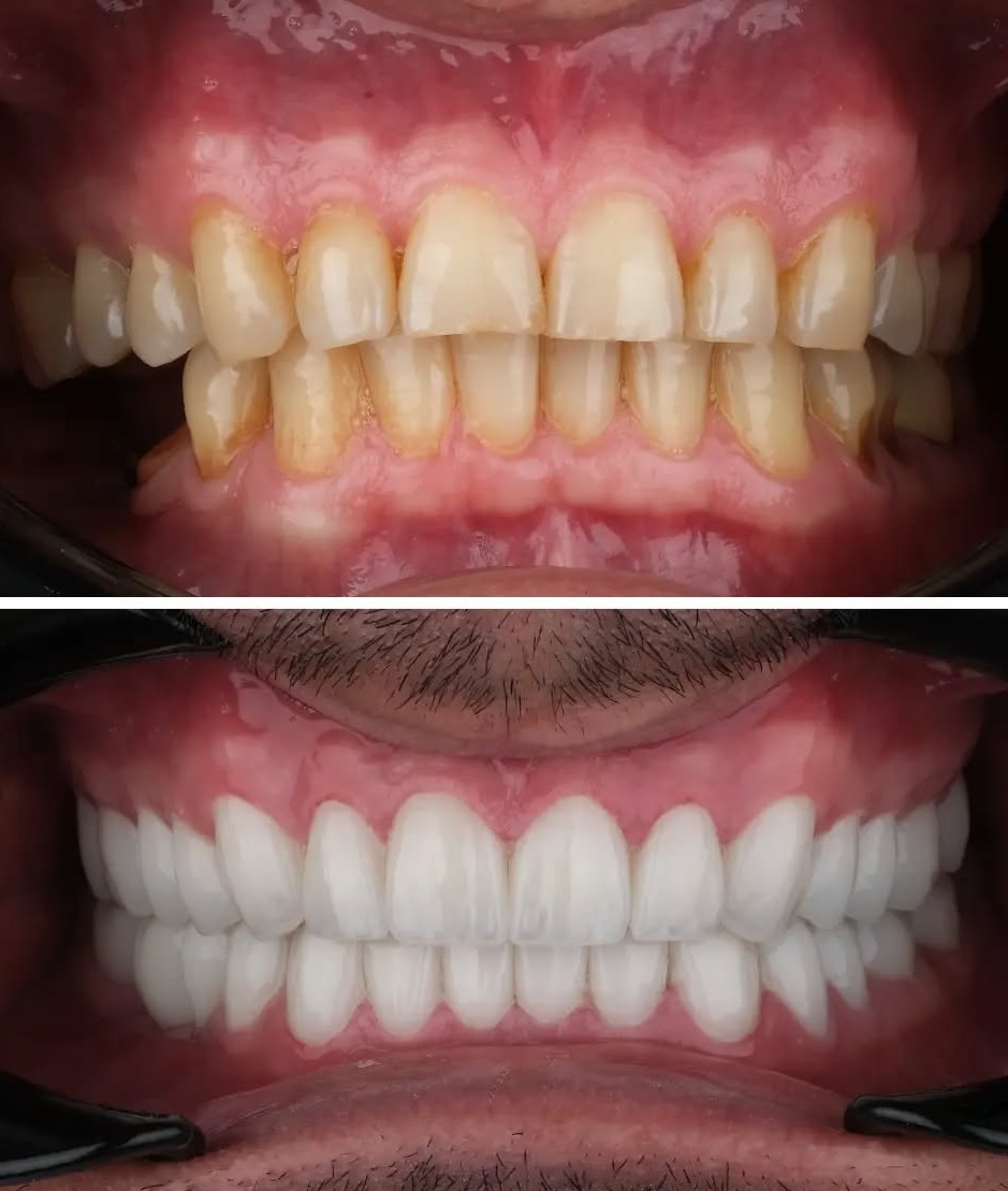
Before After Teeth Veneers

2 Front Teeth Veneers Prices in USA vs UK vs Turkey

The cost of 2 front veneers in Turkey starts from $220, is very lower than in the USA and UK. This makes Turkey the go-to destination for people seeking high-quality dental care at an affordable price. In the USA, top-quality porcelain veneers for two front teeth cost between $2,000 and $5,000 and in the UK, the cost typically ranges between £1,500 and £3,500 for the same treatment.

In Turkey, you can get both front teeth for as low as $600 for high-quality porcelain veneers, less than a single veneer in the West. While dental veneers are cheaper, Turkish dental clinics use the same internationally accepted materials and procedures, typically performed by cosmetic dentists with plenty of experience dealing with foreign patients.

With the added advantage of combining veneers smile desing with relaxing holidays in destinations like Antalya or Istanbul, Turkey offers a unique blend of price, professionalism, and luxury for everyone in search of veneers for front teeth.

2025 Cost Table For 2 Front Teeth Veneers by Country

Veneer Type (2 Front Teeth) USA Starting Price UK Starting Price Turkey Starting Price
Porcelain Veneers $1,000 £750 $400
Composite Veneers $250 £200 $220
Zirconium Veneers $1,000 £800 $490
Metal Veneers $750 £600 $350
No-Prep Veneers $1200 £900 $420

2 Teeth Veneers Procedures

Veneers Process

It is a simple procedure to have veneers placed on your two front teeth. Process begins with a thorough consultation of your dental health and discuss your ideal smile. During the procedure, your dentist will prepare your teeth by minimally trimming the enamel to accommodate the veneers, while certain kinds like no-prep veneers may require little or no alteration.

Next, impressions of your teeth are taken to create custom-made veneers that will precisely fit and match your natural teeth. Once ready, the veneers are carefully bonded to the front of your teeth using a strong dental adhesive.

Treatment generally requires one to two appointments, based on the type of veneers chosen, with a quick transformation and minimal discomfort for long-lasting cosmetic results.

Bonding 2 Front Teeth Veneers Cost

For a fast and affordable way to improve your smile, bonding 2 front teeth veneers with composite resin is one of the most popular choices. Composite bonding treatment involves sculpting tooth-colored resin directly onto the teeth to fix chips, gaps, or discoloration.

The procedure is completed in a single visit, making it quicker and more budget-friendly compared to porcelain or zirconium options. The cost of bonding 2 front teeth veneers is as minimal as $200 to $400 per tooth at Andepol dental clinic.

Contact us

For Free Consultation and Price Information

Quick Response Times
7/24 Support

Dental treatment is an important step for a healthy smile. Our clinic aims to provide you with the best service with its expert staff and modern equipment. We keep you informed at all stages of your treatment process

Contact phone number

+90 544 263 37 65

Disclaimer: Results may vary from person to person in any surgical or interventional procedure. It is recommended that you consult your doctor for detailed information before the procedure. The information provided here is for general informational purposes only and does not constitute medical advice. Treatment options may vary depending on an individual's health condition and needs. It is important to consult a qualified dentist before starting any treatment. Pricing Information: The prices provided may vary depending on the treatment process and clinical conditions. Please contact our clinic for accurate pricing information.

This website operates within the scope of international health tourism. Promotional and informational activities regarding the services offered are directed to foreign audiences, in accordance with the relevant regulations of the Republic of Türkiye.