Treat Alignment Problems
The goals of orthodontic treatment include improving the health, function and aesthetics of the teeth. Get the best results in orthodontic treatment with braces

Treatments
Fixed metal braces consist of small metal brackets that are bonded to the front surface of each tooth. A metal archwire passes through these brackets and small elastic bands hold these components together. During treatment, the person should visit an orthodontist regularly. During these visits, the orthodontist will make small changes to the braces, allowing gentle but firm pressure to move the teeth into their final position. The duration of braces in Turkey orthodontic treatment can vary from 12 months to 2 years, but usually appointments are made every 4 to 10 weeks.
The goals of orthodontic treatment include improving the health, function and aesthetics of the teeth. Get the best results in orthodontic treatment with braces
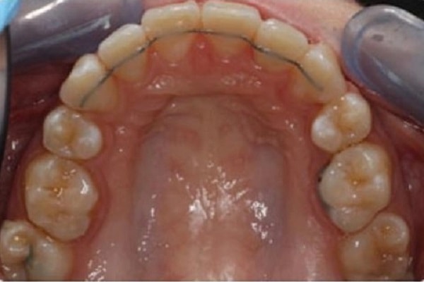
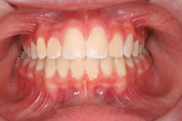
Healthy teeth and gums are very important before considering braces in Turkey. It is always very important to maintain good oral hygiene during wear to avoid the possibility of tooth decay and gum disease.
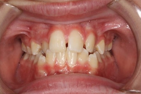
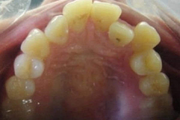
Treatment normally consists of braces that straighten misaligned teeth, crowded and protruding teeth, close gaps and align the bite so that the upper and lower teeth fit correctly when closing the mouth.
Aligning teeth can improve oral hygiene as your teeth will be easier to clean. Your bite will be better aligned to promote comfortable chewing.
Dental braces are orthodontic devices used in methods to align teeth, straighten crooked or crowded teeth, and treat gaps and other orthodontic problems between teeth.
Braces usually associated with children and teenagers, they are also widely used by adults. About 20% of orthodontic patients are adults.
People are usually fitted with braces by orthodontists, but some general dentists can also do this. Misaligned teeth are not just aesthetic problems. Crooked teeth can greatly increase the likelihood of gum disease. If left untreated, it can lead to tooth loss, receding gums, chronic bad breath and bleeding gums.
Many types of braces are available. Which one is best for you depends on the nature and severity of your orthodontic problem and your personal preference.
Metal Braces
Ceramic Braces
Lingual Braces
Clear Aligners
Metal braces consist of stainless steel bands, brackets and wires. The appliances are gently placed on the teeth one at a time. A ligature is made on each tooth and a thin, flexible archwire is passed over the brackets.
The archwire is held in place by small elastic bands called ligatures. These are visible when you smile and can be customized by choosing clear or tooth-colored ligatures to reduce the appearance. You can have them in a variety of colors for a more exciting look.
There are also removable metal braces that are attached to the teeth and can be easily removed for eating, exercising, cleaning and playing musical instruments. Braces are used to deal with minor to moderate orthodontic problems. Usually they are more invisible than fixed braces.
Ceramic braces function just like metallic braces. The difference is that they are made of tooth-colored brackets and wires to match your smile. While they are less noticeable, they can be more prone to breakage than the metallic kind. They are usually more sensitive. These braces provide a subtle way of dealing with one's problems and ensuring that the consequences are not too obvious.
Lingual braces are just like traditional braces, only they are worn on the inner surfaces of the teeth. It is a more discreet and effective method for those who do not want their braces to be noticed. They are especially preferred by people who participate in contact sports and play wind instruments.
Self-ligating braces are similar to traditional metal braces. Instead of elastic ligatures, they have a self-ligating mechanism that holds the archwire in place. Lingual braces in Turkey can reduce friction and are used for a potentially shorter treatment time.
Clear aligners are often described as “invisible braces”. A series of customized aligners are produced to gradually move the teeth into the desired position. Other brands, such as Invisalign and ClearCorrect, produce removable clear aligners that allow for easier oral hygiene.
Aligner sets are usually worn for two weeks at a time, with minor changes made throughout the series. Aligners should be worn for at least 22 hours a day. They should only be removed for eating, drinking and brushing. Clear aligners are almost invisible, so they allow privacy in treatment without wires or brackets.
Clear aligners are designed for greater comfort. Special programs use 3D imaging to show how the smile will look after treatment. They require fewer visits to the dentist compared to traditional braces and allow oral hygiene to be easily maintained.
The ideal age for braces is 12 or 13 years old, when a child's mouth and jaw are still growing. Treatment can also start at an earlier or later age, depending on needs.
Orthodontic treatment using braces can usually start by the age of 12, after most of the permanent teeth have erupted. However, some children can start as young as 10 years old and there are specialized treatments targeted even for children as young as six years old, such as Invisalign First.
Many patients start between the ages of 10 and 14, orthodontic assessments at routine check-ups will help determine the right time. While there are some advantages to early treatment, successful results can be achieved with braces at any age. The orthodontist decides exactly when orthodontic treatment should begin after evaluating the individual's specific needs and growth pattern.
Orthodontic treatment is most effective in childhood, adults can also benefit from the possibilities of braces. This process takes longer in adults because the jaw of an adult is fully developed. With the help of braces, teeth can be perfectly aligned and a perfect smile can be achieved at any age.
Every patient does not need braces, but if they do, they will need to be referred to an orthodontist by their dentist. Only registered specialists can legally use the title orthodontist. Some general dentists may also receive additional training to provide orthodontic treatment. Orthodontists often work with orthodontic therapists who can adjust braces under their supervision.
Treatment starts with a visit to a dentist or orthodontist. The dentist will check your condition and decide whether you are a candidate for braces. If they find that your teeth are in very poor condition due to cavities, gum disease or gum recession, you should have them treated before braces are applied.
Getting braces on unhealthy teeth can cause further damage. If your dentist considers you a good candidate for braces, you may be referred to an orthodontist who specializes in teeth straightening.
If your back teeth are close together, your dentist will place spacers or rubber bands between them about a week before you wear your braces. This will give the bands room to wrap around your back teeth. Spacers may cause some discomfort as your teeth adjust to their new position.
Clear aligners are often described as “invisible braces”. A series of customized aligners are produced to gradually move the teeth into the desired position. Other brands, such as Invisalign and ClearCorrect, produce removable clear aligners that allow for easier oral hygiene.
Aligner sets are usually worn for two weeks at a time, with minor changes made throughout the series. Aligners should be worn for at least 22 hours a day. They should only be removed for eating, drinking and brushing. Clear aligners are almost invisible, so they allow privacy in treatment without wires or brackets.
Clear aligners are designed for greater comfort. Special programs use 3D imaging to show how the smile will look after treatment. They require fewer visits to the dentist compared to traditional braces and allow oral hygiene to be easily maintained.
Before braces are applied, your teeth should be thoroughly cleaned and dried. This ensures that the adhesive used to bond the brackets adheres properly.
Small pieces of metal or ceramic called brackets guide the archwire and are bonded to each tooth. The orthodontist coats the central part of each tooth with a small amount of adhesive, which is then hardened using a blue light.
Although the adhesive has a bitter taste, you can be sure that this adhesive is non-toxic. Once the adhesive has hardened, the brackets are pressed into place and glued to the center of each tooth.
Metal bands are placed around the back molars to hold the braces in place. The orthodontist adjusts the appropriate size, puts glue on it, adjusts it with a blue light and slides it over the tooth. Sometimes it may be necessary to bend the band a little or apply pressure to place it correctly. If this is uncomfortable, the orthodontist can adjust the band to a comfortable position.
Once the brackets and bands are in place and secured, the orthodontist attaches the archwire, which shifts the teeth into their correct positions. Thin elastic bands called ligatures hold the wire in the right place inside each bracket.
The color of the ligature is a matter of choice for the patient. The orthodontist will clip the end of the archwire so that it does not irritate the gums in the back of the mouth.
Treatment with fixed braces usually lasts 18 to 24 months. Unlike clear aligners, fixed braces are bonded to the teeth and remain there throughout the treatment. It is not recommended to try to remove braces at any time, as this can cause damage to the teeth and the treatment process.
The number of visits to straighten teeth will depend on the complexity of the case and the type of treatment chosen. In general, one should expect a consultation visit to assess suitability, a fitting appointment. Followed by regular progress checks throughout the treatment. More complex cases may require additional appointments to monitor and adjust the braces appropriately.
Braces are very effective, but their success depends largely on the patient's adherence to the prescribed treatment plan. When the braces are removed at the end of treatment, patients are fitted with a retainer prescribed by the dentist to prevent their teeth from returning to their previous position. Various retainers are available, some are removable while others are fixed to the teeth.
During orthodontic treatment, regular visits to your general dentist for routine check-ups and professional cleanings are also recommended. It requires a lot of patience and commitment, but it is definitely worth it.
You can be sure that your orthodontic treatment will be successful and you will have a beautiful, healthy smile when the process is complete. Follow exactly the recommended guidelines on routine oral care, dietary restrictions and regular visits to your dental care providers.
Proper care of your braces ensures the best results and helps maintain oral health. Your orthodontist will provide specific care instructions, but general guidelines include brushing your teeth at least twice a day with a soft-bristled toothbrush and fluoride toothpaste.
Flossing once a day using special floss designed for braces helps remove food particles and plaque from hard-to-reach areas. If clear aligners are used, they should be cleaned daily and stored in a safe place when not worn. Antibacterial, alcohol-free mouthwashes can be used to maintain hygiene and reduce bacteria.
Dietary considerations are another point of concern regarding the integrity of braces. It is better to avoid hard, crunchy or sticky foods to prevent damage to the brackets and wires.
Foods such as caramel, chewy candies, hard fruits and vegetables need to be cut into small portions that can be easily chewed to avoid the possibility of getting caught in the braces. Your orthodontist will provide a comprehensive list of foods to avoid to keep the braces in good condition and reduce the risk of cavities.
Regular follow-up appointments with your orthodontist are very important to monitor progress and make any necessary adjustments to your braces. These visits provide an opportunity to address any concerns and ensure that treatment is progressing as planned.
Good oral hygiene is particularly important during orthodontic treatment. Braces tend to trap food, leading to plaque build-up. Teeth should be cleaned with greater care and dietary restrictions should be followed, avoiding foods and drinks containing sugar, which can increase caries.
Following the orthodontist's instructions diligently and maintaining a proper oral care routine will help to achieve the desired results within the estimated treatment time.
Cost of Braces in Turkey starts from £ 1.200. Prices vary depending on the material used, the duration of treatment and the orthodontic needs of the patient. Metal braces are the most commonly preferred option due to their durability and affordability.
Porcelain braces stand out with their less noticeable transparent structure for those with aesthetic concerns, but they cost a little more than metal braces.
While Invisalign clear aligners offer an almost invisible alternative to straighten teeth, the price may be higher than other options due to its personalized production and advanced technology.
After getting braces, it is best to stick to soft foods for the first few days to minimize discomfort and allow your mouth to adjust. Recommended options include:
As you get used to eating with your braces, you can gradually return to a normal diet. There are some foods that can damage your braces throughout your orthodontic treatment. Foods to avoid include:
The pain in the mouth is not uncommon, especially with brackets or wires that go into your cheeks. To ease the discomfort
In about a month, your mouth will get used to the braces and the pain will ease. Eating and talking will become easier.
Metal braces are still one of the most popular orthodontic appliances for many reasons. They are reliable, made from durable stainless steel. Metal braces have a decades-long proven track record of producing accurate and predictable results.
Versatile, metal braces are suitable for people of all ages - children, teenagers and adults. They can be used to treat almost any orthodontic problem in patients of all age groups.
Cost-effective, among the various orthodontic options available, metal braces are often the most affordable solution.
Once your braces are fitted, you will begin to notice gradual tooth movement, which is the ultimate goal of treatment. Adapting to a new oral hygiene routine is important for maintaining your dental health.
Adopting brushing and flossing techniques that are appropriate for braces is critical to avoid cavities and surface stains. According to the Turkish Orthodontic Association, teeth should be cleaned several times every day, even when on the go.
If brushing is not possible after meals or sugary snacks and drinks, rinsing with water can reduce plaque levels in the mouth until brushing takes place.
Special dental instruments are water flossers and interproximal brushes. These help to make oral care around wires and between brackets less laborious.
Traditional metal braces are more capable of treating severe crowding. More precise and controlled than other appliances such as clear aligners. Because they are inexpensive, they are also more accessible to most of their patients. Orthodontists can make gradual adjustments over time to align the teeth in the best possible way.
The most common disadvantage of metal braces is their unattractive appearance. Braces can make people self-conscious about their appearance. Today, metal braces have changed over time to offer a more pleasing appearance.
Colored bands can be added to make it more personalized and the structure has been made more stylish. Unlike aligners, metal braces cannot be removed. You will never have the problem of losing them.
Clear aligners are more expensive because of the manufacturing materials they contain. They are also more fragile compared to metal braces and therefore tend to get damaged easily. The likelihood of increasing future repair costs increases.
Even though they have a higher price for aesthetic purposes, metal braces are still one of the effective and cost-efficient options for people who want to undergo detailed orthodontic treatment.
The most memorable days for any person undergoing orthodontic treatment are the days when the braces are fitted and finally removed. In the majority of cases, braces fitting is painless and requires only an hour or two of your time.
Wearing traditional metal braces involves the placement of bands, brackets and archwires. Patients with lingual braces that go inside the teeth face a similar process. The total time may take a little longer because the placements are a little more difficult.
If your preferred treatment is clear aligners, you will not have brackets or bands. Attachments, buttons and elastics may have been added to help you achieve the best results, especially if your case is more complex.
The duration of orthodontic treatment varies from one level of tooth misalignment complexity to another. For clear aligners, treatment takes up to 12-36 months to achieve the preferred result. For traditional metal brackets, treatment is on average 20 months.
In each case, it is the extent of the misalignment that determines how long the treatments last and which orthodontic treatment intervention is initiated.
40+ Years of Experience


Modern dentistry focuses on precision, comfort, and long-term oral health. Our clinic combines advanced technology with expert care to create healthy and confident smiles.
See all reviewsWir sind so glücklich! Vom Anfang an wurden wir professionell betreut - es wurde jeder Schritt bis ins Detail erklärt. Wir hatten Beide große Probleme mit unseren Zähnen, außerdem noch dazu Angst vor dem Eingriff! Es hat sich alles gelohnt..
Irene Rosel
An exceptional experience from start to finish...The team at Andepol is very proffesional truly skilled what they do. Highly recommeded for anyone looking for outstanding sevice and results..

Johnny
I would like to thank Mr. Kıvanç and Ms. Aylin. I was very pleased. Thanks to the technology and materials used, my teeth have a very natural appearance despite being completely renewed. Moreover, in a short time like ten days..

Hacer Mutlu Danacı
It’s been two months since my husband Kevin had all on 6 implants fitted. 4 months before because of a receding jaw bone he had the prep surgery which required 14 teeth removed, two bone grafts and a sinus lift.

Tina Lovell
It is necessary to give the job to the competent. Excellent staff and teamwork make a real difference. I’ve got a team that truly cares about your health and well-being, and they always do their best to provide the highest level of service.

Okan Akkoç
I have just returned home to uk after having top and bottom crowns to say I am happy would be an understatement my smile was completely transformed and my treatment from the team was amazing professional and very accommodating .

Sarah
Wir sind so glücklich! Vom Anfang an wurden wir professionell betreut - es wurde jeder Schritt bis ins Detail erklärt. Wir hatten Beide große Probleme mit unseren Zähnen, außerdem noch dazu Angst vor dem Eingriff! Es hat sich alles gelohnt..
Irene Rosel
An exceptional experience from start to finish...The team at Andepol is very proffesional truly skilled what they do. Highly recommeded for anyone looking for outstanding sevice and results..

Johnny
I would like to thank Mr. Kıvanç and Ms. Aylin. I was very pleased. Thanks to the technology and materials used, my teeth have a very natural appearance despite being completely renewed. Moreover, in a short time like ten days..

Hacer Mutlu Danacı
It’s been two months since my husband Kevin had all on 6 implants fitted. 4 months before because of a receding jaw bone he had the prep surgery which required 14 teeth removed, two bone grafts and a sinus lift.

Tina Lovell
It is necessary to give the job to the competent. Excellent staff and teamwork make a real difference. I’ve got a team that truly cares about your health and well-being, and they always do their best to provide the highest level of service.

Okan Akkoç
I have just returned home to uk after having top and bottom crowns to say I am happy would be an understatement my smile was completely transformed and my treatment from the team was amazing professional and very accommodating .

Sarah
Wir sind so glücklich! Vom Anfang an wurden wir professionell betreut - es wurde jeder Schritt bis ins Detail erklärt. Wir hatten Beide große Probleme mit unseren Zähnen, außerdem noch dazu Angst vor dem Eingriff! Es hat sich alles gelohnt..
Irene Rosel
An exceptional experience from start to finish...The team at Andepol is very proffesional truly skilled what they do. Highly recommeded for anyone looking for outstanding sevice and results..

Johnny
I would like to thank Mr. Kıvanç and Ms. Aylin. I was very pleased. Thanks to the technology and materials used, my teeth have a very natural appearance despite being completely renewed. Moreover, in a short time like ten days..

Hacer Mutlu Danacı
It’s been two months since my husband Kevin had all on 6 implants fitted. 4 months before because of a receding jaw bone he had the prep surgery which required 14 teeth removed, two bone grafts and a sinus lift.

Tina Lovell
It is necessary to give the job to the competent. Excellent staff and teamwork make a real difference. I’ve got a team that truly cares about your health and well-being, and they always do their best to provide the highest level of service.

Okan Akkoç
I have just returned home to uk after having top and bottom crowns to say I am happy would be an understatement my smile was completely transformed and my treatment from the team was amazing professional and very accommodating .

Sarah
Wir sind so glücklich! Vom Anfang an wurden wir professionell betreut - es wurde jeder Schritt bis ins Detail erklärt. Wir hatten Beide große Probleme mit unseren Zähnen, außerdem noch dazu Angst vor dem Eingriff! Es hat sich alles gelohnt..
Irene Rosel
An exceptional experience from start to finish...The team at Andepol is very proffesional truly skilled what they do. Highly recommeded for anyone looking for outstanding sevice and results..

Johnny
I would like to thank Mr. Kıvanç and Ms. Aylin. I was very pleased. Thanks to the technology and materials used, my teeth have a very natural appearance despite being completely renewed. Moreover, in a short time like ten days..

Hacer Mutlu Danacı
It’s been two months since my husband Kevin had all on 6 implants fitted. 4 months before because of a receding jaw bone he had the prep surgery which required 14 teeth removed, two bone grafts and a sinus lift.

Tina Lovell
It is necessary to give the job to the competent. Excellent staff and teamwork make a real difference. I’ve got a team that truly cares about your health and well-being, and they always do their best to provide the highest level of service.

Okan Akkoç
I have just returned home to uk after having top and bottom crowns to say I am happy would be an understatement my smile was completely transformed and my treatment from the team was amazing professional and very accommodating .

Sarah
⚠️ Note: Disclaimer: Results may vary from person to person in any surgical or interventional procedure. It is recommended that you consult your doctor for detailed information before the procedure. The information provided here is for general informational purposes only and does not constitute medical advice. Treatment options may vary depending on an individual's health condition and needs. It is important to consult a qualified dentist before starting any treatment.
Pricing Information: The prices provided may vary depending on the treatment process and clinical conditions. Please contact our clinic for accurate pricing information.