İ.Gökşen Cd. No: 54/A M.Paşa/Antalya +90 544 263 37 65 newsmile@andepol.com

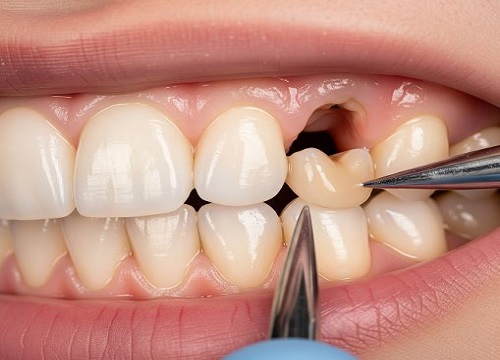
Dental Veneers for Missing Teeth

If there is a missing tooth, people are not sure whether veneers are possible. Your dentist will inform you about the complexity of dental veneers for missing teeth, including what veneers are, what alternatives are possible. Whether or not you can get them if you have no teeth left.

A missing tooth can be a stressful experience, not only for your teeth but even for your confidence. People generally seek cosmetic treatments to correct their smile, and dental veneers are one of the most popular cosmetic treatments.

Dental Veneers for Missing Teeth

Struggling with Teeth Missing?

Don't let gaps in teeth hold you back or affect your quality of life. From affordable dental veneers for missing teeth to other effective solutions for missing teeth, we help you find every solution. If you need help fixing missing teeth to replace or would like to learn about fixing missing teeth without implants, our experts are here to guide you to the best solution for your smile.

5 min read
1-3 days
Medically reviewed by DDS PhD. Spec. Kıvanç Ulusoy

Can You Get Veneers with Missing Teeth?

Patients desire to know one of the most common questions, can you get veneers with missing teeth? The answer exists in how many teeth are lost and where they are. Veneers have to be bonded to a natural tooth structure.

Dental veneers are not typically employed to fill teeth that are entirely missing. But in other cases, such as missing teeth that are adjacent to healthy teeth, veneers can be paired with other forms of treatment such as bridges or implants to create a harmonious and aesthetic look.

Dental veneers for missing teeth are not an isolated solution, they can be a significant component of a full treatment regimen. It is vital to distinguish between cosmetic enhancement and functional restoration. If you are missing teeth, the first step is to look at your missing teeth choices.

A dentist will assess the health of the adjacent teeth and jawbone prior to deciding if veneers can be added to your treatment plan. So, can one get veneers with missing teeth? Yes, but quite possibly not by itself.

What are Dental Veneers?

Dental Veneerse

To be able to understand the application of dental veneers for missing teeth, one would have to first understand what veneers are. Dental veneers are very thin shells, often produced with porcelain or resin, that are bonded onto the front of teeth.

Veneers are used to improve appearance by altering the color, shape, size, or length of a tooth. Because veneers rely on a tooth for support, they cannot be placed instantly in the place of a missing tooth.

All that aside, veneers do find a purpose to complement other forms of replacing missing teeth, mostly in cosmetic dental solutions. For instance, after a dental implant has been completed, veneers can be added to the teeth around it so as to compensate for the appearance of your smile.

Many patients wrongly believe that veneers can be used to replace missing teeth, but this is not entirely the case. While they are great for minor cosmetic changes like chipped, discolored, or slightly crooked teeth. Veneers alone cannot handle forces of mastication or occlusion without their supporting roots.

Options for Missing Teeth

There are several missing teeth options from which patients may select, including dental implants, implant supported bridges, implant supported prosthesis, and partial dentures. All of these serve to restore function and esthetics. Dental veneers for missing teeth are typically only considered after one of these restorative options has been placed.

Dental implant Option for Missing Teeth

Dental implants involve placing a titanium post into the jawbone as an artificial root. Once they implant has integrated with the bone, a crown is then placed over it. While such a crown is different from a veneer, it is possible to use a veneer on neighboring teeth to ensure that the smile is uniform. Veneers are therefore often one aspect of a multi-faceted solution in missing teeth replacement, especially when there are cosmetic concerns.

Patients who are weighing their choices for missing teeth need to consult with a dentist to see whether they are a good candidate for dental implants, bridges, or dentures. Bone density, where the missing teeth are located, and the condition of adjacent teeth all play important factors in arriving at an ideal solution. Should the adjacent teeth also need cosmetic enhancement, dental veneers can be applied once the missing teeth have been structurally replaced.

Cheap Options for Missing Teeth

Cheap Options for Missing Teeth

While pondering about missing teeth and seeking an inexpensive ways of filling your smile, cost is a determinant. Although dental veneers for missing teeth are aesthetically beneficial, they are not typically considered an cheap option for missing teeth particularly because they rely on existing teeth for placement.

For individuals seeking cheap options for missing teeth, there are numerous alternatives to consider before settling for pricier procedures like dental implants, bridges and dentures.

Removable partial dentures are first line among the cheap options for missing teeth. These appliances are adjustable to fit a patient and are usually the first choice for patients seeking affordable missing teeth solutions. Although not as natural-looking as veneers or implants, they do provide functional and cosmetic fundamentals.

The other affordable option is the use of dental flippers as temporary partial dentures that can be used to replace a single or two missing teeth. Dental flippers can be utilized particularly in the waiting time for more permanent choice or arranging money for treatment. In cases where there are adjacent healthy teeth, dental veneers for missing teeth can also be considered alongside these more affordable alternatives for a hybrid.

Can You Get Veneers with No Teeth

Veneers with No Teeth

A very valid question is, can you get veneers with no teeth? The answer, sadly, is no. Dental veneers require natural teeth to serve as anchors. If you have absolutely no teeth, there's nothing for veneers to bond to.

If your mouth is fully edentulous (meaning you have no teeth), veneers can't be applied directly. You would instead need a full mouth restoration with dentures or implant-supported dentures.

Once the underlying framework dentures or implants, for instance is determined, then the cosmetic options can be discussed. You might be a candidate for crowns that resemble the look of veneers but will not be veneers. Understanding can you get veneers with no teeth teaches that while veneers are a cosmetic restoration, they are not by themselves a tooth-replacement solution.

How to Fix Missing Teeth Without Implants

Many patients are scared of having surgery or simply cannot afford implants, so the question arises, how to restore missing teeth without implants? The good news is that several efficient options exist without having to undergo invasive surgery. Dental veneers for missing teeth can't be used to fill in a missing tooth directly, but they're applied to enhance the look of adjacent teeth when combined with implants, bridges or dentures.

Dental bridges are a common alternative to filling gaps due to missing teeth without the use of implants. They are fixed prosthetics that are supported by the adjacent healthy teeth and are therefore suitable when just one or two teeth are missing. Dental veneers may also be placed on the adjacent teeth in these instances so that there is a uniform appearance, particularly if the natural teeth are crooked, misshapen or discolored.

Partial and complete removable dentures are also non-surgical missing teeth alternatives. While not as permanent as implants, they have been enhanced by better materials and design improvements and have become more comfortable and natural. Patients with many missing teeth will often utilize these as a primary option, later progressing to other treatments.

Can You Wear Veneers with No Teeth

The second iteration of the above question is, can you wear veneers if you have no teeth? The truth is that you can't. Veneers are not dentures or removable appliances, they are bonded onto natural teeth. So, can you wear veneers when you have no teeth is a myth. People who have no teeth will first need to undergo procedures like having implants or dentures to serve as the base.

But with the renovation of structural support, veneers-like loveliness is still achievable through crowns on implants or custom prosthetics. Though these technically aren't veneers, they are utilized for the same cosmetic purpose to make the smile beautiful. Renovated thus so though the definitive answer to can you wear veneers with no teeth is no, the aesthetic result you desire very well may be achieved through other mediums.

In complex full-mouth restorations, there are certain cases where dentists utilize extremely aesthetic materials which appear and even feel like veneers. This is the key reason why a majority of patients who previously suffered from missing teeth can currently smile with natural-looking and stunning smiles thanks to contemporary prosthodontics and cosmetic dentistry.

Clip-On Veneers for Gaps Between Teeth

Clip-On Veneers for Gaps between Teeth

If you want a cosmetic boost in a hurry without altering your smile permanently, clip-on veneers have become a popular trend. But are they the best clip-on veneers for gaps between teeth? And can they effectively fill in spaces where teeth are missing?

Clip-on veneers are detachable appliances that clip onto teeth to beautify for a brief period. While they are not the long-term solution for replacing teeth, they provide a temporary rapid solution for social events, photos, or even to wear for a short period of time.

If you have missing one or two teeth, especially front teeth, good-quality clip-on veneer brands can give the appearance of a bright smile with white teeth. It is good to be aware that clip-on veneers differ from traditional dental veneers for missing teeth, which are individually attached to individual teeth.

Clip-on veneers are helpful in less complex cases of missing teeth, but they are not the accuracy and longevity of fixed restorations. Patients should visit a dentist before purchasing any clip-on appliance, especially when using it to hide a number of missing teeth.

Missing Back Teeth

Few people put a high priority on replacing lost back teeth because of their not being as noticeable as front teeth. Losing molars can lead to serious problems in the long term, including loss of bone, tilting bites, and additional wear on other teeth. While dental veneers for missing teeth are usually used just for front teeth, they still have a supporting role in full-mouth rehabilitation strategies that involve replacing back teeth.

Where missing teeth are towards the back of the mouth, filling in gaps between teeth is necessary for effective chewing and for maintaining jaw stability. In such cases, traditional veneers cannot be used because there are no exposed front surfaces to place them on if the loss is complete. Dentists then make use of dental bridges or implants to cover such regions.

The patients who are looking for missing teeth solutions for their molars can also use implant-supported bridges or affordable full mouth restorations based on the number of teeth missing. Neither of these procedures is a veneer and might be veneered when there are esthetic concerns that migrate into the front teeth.

Ignoring the missing back teeth not only affects oral function but can also lead to teeth shifting and permanent bite disturbances. Combining functional restorations with dental veneers for missing teeth in esthetic areas creates a balanced approach to both health and beauty.

Contact us

For Free Consultation and Price Information

Quick Response Times
7/24 Support

Dental treatment is an important step for a healthy smile. Our clinic aims to provide you with the best service with its expert staff and modern equipment. We keep you informed at all stages of your treatment process

Contact phone number

+90 544 263 37 65

Disclaimer: Results may vary from person to person in any surgical or interventional procedure. It is recommended that you consult your doctor for detailed information before the procedure. The information provided here is for general informational purposes only and does not constitute medical advice. Treatment options may vary depending on an individual's health condition and needs. It is important to consult a qualified dentist before starting any treatment. Pricing Information: The prices provided may vary depending on the treatment process and clinical conditions. Please contact our clinic for accurate pricing information.

This website operates within the scope of international health tourism. Promotional and informational activities regarding the services offered are directed to foreign audiences, in accordance with the relevant regulations of the Republic of Türkiye.